Casos Clínicos
Blanqueamiento dental
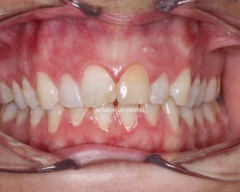
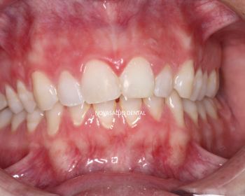
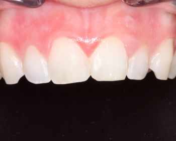
Tratamiento: Blanqueamiento dental interno en diente no vital.
Paciente acude a consulta para cambiar el color de uno de sus centrales, que lleva oscuro unos años. En solo 3 sesiones durante 2 semanas conseguimos que el color de la pieza 2.1 se igualara a la 1.1, un tratamiento económico y conservador.



