Casos Clínicos
Coronas ceramo-metal unitarias
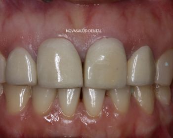
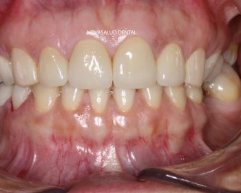
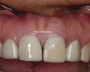
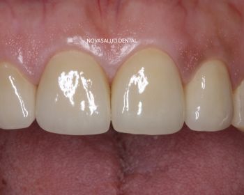
Tratamiento: coronas ceramo-metal unitarias en frente anterior.
Paciente acude a consulta con 4 coronas en sector anterior recién colocadas en otra clínica dental. La paciente no esta nada contenta con el resultado estético. Nos pide que le cambiemos las coronas. Decidimos retirar las 4 piezas ferulizadas y realizar 4 coronas unitarias, es decir, separadas individualmente para ganar en estética. El paciente mejora la estética dental con el tratamiento.



