Casos Clínicos
Prótesis sobre implantes dentales
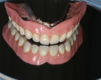
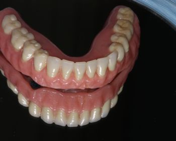
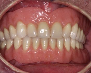
Tratamiento: Rehabilitación de maxilar superior e inferior con sobredentadura sobre 4 y 2 implantes respectivamente.
Paciente desdentado total que no puede comer ya que ha perdido recientemente sus dientes. Tras una fase de colocación de implantes, 4 en maxilar superior y 2 en mandíbula, pasamos a la realización de la prótesis, que mediante un sistema de colocación de pilares sobre cada uno de los implantes logramos que la prótesis ajuste perfectamente en boca y logre mantenerse ajustada.






