Casos Clínicos
Prótesis dental
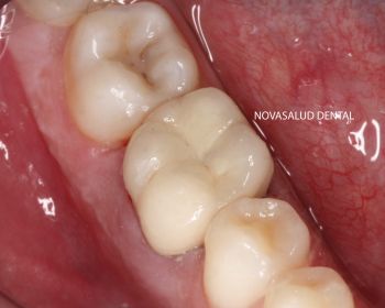
Tratamiento: Rehabilitacion fija con corona ceramo-metal en un molar.
Paciente que tras un tratamiento de conductos (endodoncia) en un molar (4.6) necesita reconstruir la parte coronal de la pieza. Para ello mandamos a fabricar a nuestro laboratorio una pieza de metal-cerámica que cementamos en la pieza previamente tallada y preparada para la corona.




